ウェブブラウザに Brave を使うと、広告なしで youtube を視聴することができる
https://a111111.hatenablog.com/entry/2026/02/24/064327
スマホやノートパソコンを使っていると失明する _ ブルーライトカットの設定方法
https://a111111.hatenablog.com/entry/2026/02/24/063222
777ブログ _ カテゴリー別投稿集
https://a111111jp.hatenablog.com/entry/2026/02/21/071730
健康法
https://a111111.hatenablog.com/entry/2025/05/06/071119
https://a111111.hatenablog.com/entry/2026/03/07/073057
電磁波による人体への影響
https://www.e-smog.jp/electromagnetic/infuluence.html
電磁波の健康影響を示す多数の研究
https://a111111.hatenablog.com/entry/2026/02/26/073515
電気毛布の電磁波カット効果を徹底比較!体に悪い嘘と本当のおすすめ5選
https://a111111.hatenablog.com/entry/2026/03/08/121701
ベットではウォーターベッドが断然 寝心地が良い
https://a111111.hatenablog.com/entry/2026/02/27/183209
▲△▽▼
▲△▽▼
電磁波の健康影響を示す多数の研究 2024年05月12日
電磁波の健康影響 – 不妊、流産、先天異常、低出生体重児
https://www.emfhazard.net/ja/health/numerous-studies-show-emf-health-effects/
電磁波の健康影響 – ADHD、アルツハイマー、記憶力低下、うつ病、自殺
https://www.emfhazard.net/ja/health/numerous-studies-show-emf-health-effects/2/
電磁波の健康影響 – 白血病、脳腫瘍、乳がん、悪性リンパ腫、精巣がん
https://www.emfhazard.net/ja/health/numerous-studies-show-emf-health-effects/3/
電磁波の健康影響 – 心筋梗塞、COPD、ぜんそく、糖尿病、不整脈、白内障
https://www.emfhazard.net/ja/health/numerous-studies-show-emf-health-effects/4/
電磁波の健康影響 – 危険水準
https://www.emfhazard.net/ja/health/numerous-studies-show-emf-health-effects/5/
電磁波の健康影響 – まとめと対策
https://www.emfhazard.net/ja/health/numerous-studies-show-emf-health-effects/6/
今のご時勢、電磁波が体に悪いと言うと、ちょっと非常識な人だと思われるかもしれません。
しかし、これは実際に数多くの科学論文が指し示していることなのです。
私も実際に自分の目で確かめてみるまでは、半信半疑でした。
この記事では、携帯電話などの電磁波が健康に悪影響を与えることを示した、全部で200件の研究を紹介します。
人で示された健康影響は、以下のように極めて多岐に渡っています。
生殖機能の異常
男性不妊・精子減少・女性不妊・流産・先天異常・低出生体重児・男児出生減少など
脳機能の異常
問題行動・ADHD・記憶力低下・認知症・アルツハイマー病・ALS・電磁波過敏症・うつ病・自殺・体内時計の乱れ・神経伝達障害など
がん
白血病・悪性リンパ腫・脳腫瘍・乳がん・精巣がん・膵臓がん・肺がんなど
様々な臓器の異常
不整脈・心筋梗塞・慢性閉塞性肺疾患・ぜんそく・糖尿病・自律神経の乱れ・肝機能と腎機能の低下・白内障など
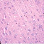
また電磁波が実際に各種の臓器を損傷することも、主に動物実験によって示されています。
損傷部位は精巣、卵巣、受精卵 (胚)、脳、心臓、肺、膵臓、肝臓、腎臓などで、こちらも多岐に渡ります。
たとえば以下は動物実験から抜粋した写真ですが、目に見えて臓器が損傷を受けているのがわかります。
これらの動物実験は、電磁波による人の健康への多岐に渡る影響を裏付けるものです。
また、電磁波は主に活性酸素を増加させることで健康に影響を与えることがわかってきています。その仕組みについては以下の記事で解説しています。
電磁波が健康に影響を与える仕組み
https://www.emfhazard.net/ja/health/mechanisms-of-how-emfs-affect-health/
前回の記事では、電磁波が健康に悪影響を及ぼすことを示した多数の研究を紹介しました。 この記事では続いて、その仕組みについて説明します。 電磁波は主として活性酸素を増加させることで、健康に悪影響を与える … 記事全文を読む
以下 長いので、リンクを直接見て下さい。
電磁波の健康影響 – 不妊、流産、先天異常、低出生体重児
https://www.emfhazard.net/ja/health/numerous-studies-show-emf-health-effects/
電磁波の健康影響 – ADHD、アルツハイマー、記憶力低下、うつ病、自殺
https://www.emfhazard.net/ja/health/numerous-studies-show-emf-health-effects/2/
電磁波の健康影響 – 白血病、脳腫瘍、乳がん、悪性リンパ腫、精巣がん
https://www.emfhazard.net/ja/health/numerous-studies-show-emf-health-effects/3/
電磁波の健康影響 – 心筋梗塞、COPD、ぜんそく、糖尿病、不整脈、白内障
https://www.emfhazard.net/ja/health/numerous-studies-show-emf-health-effects/4/
電磁波の健康影響 – 危険水準
https://www.emfhazard.net/ja/health/numerous-studies-show-emf-health-effects/5/
電磁波の健康影響 – まとめと対策
https://www.emfhazard.net/ja/health/numerous-studies-show-emf-health-effects/6/
▲△▽▼
https://a111111.hatenablog.com/entry/2026/02/27/183209
ウォーターベッドのヒーターが出す電磁波の強さ
-
ウォーターベッドは、冷たいフォームやスプリングのマットレスとは異なり、水で満たされたマットレスをもつ。安眠のために、水が温められ、その温度が保たれる。マットレスの水抜きにはポンプが用いられる。
- 周波数範囲:
-
- 50–60 Hz
- 電磁界の種別:
- 電界および磁界
測定値(文献に拠る)
参考文献
- Behrens T et al. (2004): [家電製品への極低周波電磁界のばく露でのライフタイムでの定量化と後向き症例対照疫学研究]
- Delpizzo V (1990): [一般家庭用電気機器からの低周波磁界の個人ばく露の評価モデル]
https://www.emf-portal.org/ja/emf-source/612
ドリームベッド株式会社
ウォーターベッドの専用ヒーターによる電磁波について
当社のウォーターベッドのヒーターからも電磁波は発生いたしますが、通常想定されている使用環境(ハードサイド用で20cm以上の距離)において、その数値は10.6mG(ミリガウス)という
非常に低い数値となっています。
参考までに各機関から出されている電磁波のガイドライン等の数値は以下の通りです。
・家電の電磁波ガイドライン値:1000mG
また一般家電品の電磁波はテレビ・エアコン20mG、電子レンジ・携帯電話200mGでございます。
このように、当社のウォーターベッドのヒーターから発生する電磁波(10.6mG)は一般的な生活家電の数値を大きく下回る数値でございます。
上記はペースメーカーへの影響を測定した数値でございます。
身体への影響については当社で検証など行われておりませんので、どのような影響があるかなどの資料はございません。
▲△▽▼
ドリームベッド株式会社のウォーターベッドのヒーターから発生する電磁波(10.6mG)はかなり危険な大きさです。
ヒーターを使わないで、ウォーターベッドに掛け布団を2枚載せて、掛布団と掛け布団の間で寝れば冷たくはありません。寒い時は電磁波カットした電気毛布を併用すれば良いのです:
電磁波の健康影響を示す多数の研究
https://a111111.hatenablog.com/entry/2026/02/26/073515
電気毛布の電磁波カット効果を徹底比較!体に悪い嘘と本当のおすすめ5選
https://a111111.hatenablog.com/entry/2026/03/08/121701
ベットではウォーターベッドが断然 寝心地が良い
https://a111111.hatenablog.com/entry/2026/02/27/183209
▲△▽▼
以下の製品は、電磁波が強いというよりも長時間の使用で電磁波を浴び続けるため、家庭内では最も危険な製品と認識するべきです。
・電気毛布
・電気敷き毛布
・電気カーペット
・電気こたつ
・パソコン
▲△▽▼
「磁界」の強さを表す単位
μT(マイクロテスラ)
「磁界」の強さを表す単位としては、一般的に「μT(マイクロテスラ)」がよく使われます。1μTとは、5A(アンペア)の電流が流れている電線から1m離れた場所での磁界の大きさを表します。

その他の単位
「μT(マイクロテスラ)」の他に、「mT(ミリテスラ)」、「T(テスラ)」、「mG(ミリガウス)」、「G(ガウス)」が使われます。これらの関係は以下のとおりです。
1T=1,000mT=1,000,000μT
1G=1,000mG
1T=10,000G
1mT=10G
1μT=10mG
https://powergrid.chuden.co.jp/anteikyokyu/denjikai/jik_chishiki/dchi_tani/
▲△▽▼
電磁波による人体への影響
https://www.e-smog.jp/electromagnetic/infuluence.html
電波などの直接影響を感じない低周波の電磁波による人体への影響が注目されています。日本ではまだ取り組みが遅れていますが、大きな課題とされています。欧米ではいち早く、人体への影響を考えて、電磁波防護基準の法制化がなされ、電磁波測定方法の規格化が進められています。
ただ、未だに研究途中であり、確定した評価までは至っておりません。それでも無視できない一貫性が報告されており、一般的には人体に有害であると認められているのが現状です。
疫学的研究では、87年の米国サビッツ博士の調査において、
「2mG(ミリガウス)以上の磁場で小児白血病が1.93倍、小児筋肉腫瘍3.26倍」という結果が出ました。
スウェーデンでは、1992年にカロリンスカ研究所を中心とした大規模な疫学調査の結果、北欧3国集計で「2mG以上の磁場で小児白血病が2.1倍、小児脳腫瘍1.5倍」との調査結果を発表。低レベルでも電磁波にさらされることにより、小児白血病やがんの発生率が増加する恐れが指摘され世界に大きな反響を呼びました。
身近にある電磁波を発生するもの
外部からの電磁波
住環境においては、高圧送電線や変電所からの電磁波の影響は大きく、高圧送電線の近くにお住まいの方は、注意が必要です。
距離が遠くなるほど電磁波も弱くなりますので、近ければ近いほど危険といえるでしょう。そばに大きな送電線があれば、常に電磁波を受け続けている可能性が高く、人体への影響が強いと考えられます。
家庭内での電磁波
家庭内は電磁波に囲まれていると言ってよいでしょう。テレビやパソコン本体からも電磁波が発生しています。場合によっては、高圧送電線より強い電磁波が家電製品から出ていることもあります。
特に電磁波が強い製品
・電磁調理器(IHクッキングヒーター)
・電子レンジ
・ミキサー
・電気ストーブ
・オーディオ類
・乾燥機、洗濯機
・ホットプレート
・エアコン
注意:
一般的に消費電力が大きい製品は、多く電磁波を発生させているケースが多いと言えます。
また、「ACアダプター」は、意外と電磁波が強いので注意しましょう。
最も注意が必要とされる製品
以下の製品は、電磁波が強いというよりも長時間の使用で電磁波を浴び続けるため、家庭内では最も危険な製品と認識するべきです。
・電気毛布
・電気敷き毛布
・電気カーペット
・電気こたつ
・パソコン
注意が必要な製品
電磁波は特に、頭部への影響に注意が必要です。
頭部付近で使用する製品には特に気をつけるべきです。
・携帯電話
・ドライヤー
・電気シェーバー(100V電源使用のタイプ)
・電動歯ブラシ(100V電源使用のタイプ)
見えない場所からも電磁波が
壁や天井、床などに埋め込まれている見えない配線からも電磁波が発生されているので注意が必要です。2階などでは、寝ている場所の下側に配線が集中しているケースもあります。配線は見えませんので、電磁波測定器などで測定する以外にありません。
一般的な家電製品からの電磁波発生量
| エアコン | 20mG |
|---|---|
| ホットカーペット | 30mG |
| カラーテレビ | 20mG |
| ステレオ | 20mG |
| アイロン | 3mG |
| ヘアドライヤー | 70mG |
| 電気こたつ | 100mG |
| 掃除機 | 200mG |
| ビデオデッキ | 6mG |
| 洗濯機 | 30mG |
| 電気シェーバー | 100mG |
| 電子レンジ | 200mG |
| 炊飯器 | 40mG |
| 冷蔵庫 | 20mG |
| コーヒーメーカー | 1mG |
| ファックス | 2mG |
電磁波ストレスを受けやすい場所は寝室です!
人は、眠っている状態で最もエレクトロスモッグやジオパシックストレスの負担がかかることが、専門家のこれまでの研究で明らかになってきています。理由の一つは、私たちが眠っている間、一日に約8時間、ほぼ一ヶ所に滞在し、ほとんど動かないということです。眠る場所に負担があると、これが長い間、毎日少しずつ私たちに影響を与えるのです。そして、もう一つは既に述べたように、睡眠中は起きているときよりもからだはリラックス状態にあり、抵抗力が少ないということです。
ですから、一般に通用している限界値というものも、疑ってかからなければなりません。起きているときと眠っているときの負担を区別していないからです。眠る場所のバウビオロギー・ガイドライン(建築生物的限界値)というのは、意味無く出来上がったものではありません。
▲△▽▼
https://www.emfhazard.net/ja/health/numerous-studies-show-emf-health-effects/3/
テネシー州の3郡 (デビッドソン郡、シェルビー郡、ハミルトン郡) の20-64歳のアフリカ系の女性について、電熱式寝具 (電気毛布、電気敷きパッド、温水ベッド) の利用年数が長くなるほど、乳がんが増加しました。
特に閉経前の若い女性の間でそれが顕著でした。
乳がんの増加

乳がんのオッズが、電熱式寝具の10年超の利用で5倍、閉経前の若い女性では8倍になりました。
スウェーデン全土で高圧線の300m圏内に住む16歳以上の女性について、自宅から高圧線までの距離が近くなるほど、高圧線の低周波電磁波が強くなるほど、その累積被曝量が多くなるほど、乳がんが増加しました。
上記の傾向は、主に49歳以下の若い女性の間でみられました。
低周波電磁波の危険水準
高圧線や電化製品
磁束密度
高圧線や電化製品の低周波電磁波の強さの指標としては一般的に磁束密度が使われます。
これは空間的な磁界の強さを表し、単位は μT です。
危険水準
危険水準として、0.1μT以上という値が、今まで紹介してきた研究から読み取ることができます。
低周波電磁波の危険水準

0.1 μT以上、あるいは安全をとって0.01μT以上という値が危険水準として読み取れます。
電化製品
続いて、電化製品の発する低周波電磁波は以下の通りです。(Gauger 1985, Aerts et al. 2017, Florig and Hoburg, Institute of Electrical and Electronics Engineers, The Electric Power Research Institute, Tell and Kavet 2016, Japan EMF Information Center)
電化製品の低周波電磁波の強さ

低周波電磁波の強さは、多くの電化製品のおいて、1 μTを超えています。 (最大値)
IH調理器は300 Hzから1 MHzの中間周波数帯の磁界の強さです。
電化製品の低周波電磁波は、危険水準である0.1 μTの10倍以上ということになります。
https://www.emfhazard.net/ja/health/numerous-studies-show-emf-health-effects/5/
電磁波の安全基準
世界保健機関(WHO)の協力機関である国際非電離放射線防護委員会(ICNIRP)では、磁界に関する基準について、50〜60Hzの磁界の上限は200μT(マイクロテスラ)を目安としています。
※1mG = 0.1μT。200μTは2,000mGです。
この数値は、健康に影響が出るレベルよりもずっと低く設定されています。
世界保健機関も「日常生活レベルの電磁波で健康に影響があるという確実な証拠はない」としています。
身近なものの電磁波はどのくらい?
私たちの周りの家電からは、どのくらいの電磁波が出ているのでしょうか?
身近な家電製品を磁界が強い順に見てみましょう。
家電製品は電界よりも磁界のほうが人体への影響が大きいため、磁界の数値を測定することが一般的です。
磁界の単位は「mG(ミリガウス)」で、数値が大きいほど磁気が強いことを示します。
- 電子レンジ:約200mG
- 掃除機:約200mG
- こたつ:約100mG
- 電気シェーバー:約100mG
- ヘアドライヤー:約70mG
- 電気炊飯器: 約40mG
- ホットカーペット: 約30mG
※数値はおおよその目安であり、距離や機種により値は変わります。
電子レンジは食品を温めるために高い周波数を使うため、電磁波が強くなります。
掃除機やこたつも電磁波が強いですね。
また、ここで知っておいてほしいのは、電磁波が強いものだけ注意すれば良いというわけではないこと。
体の近くで長時間使う家電は注意が必要です。
例えばホットカーペットはこの中では電磁波は弱いですが、体の近くで長時間使うため、体に影響をおよぼす恐れがあります。
https://www.hus.ac.jp/hokukadai-jiten/detail/6aab8a10f8083de65e85ee3b0115cbc16abf1308-20406/
家庭の電磁波ガイド
◎ 便利な家電製品に囲まれて、電磁波漬け?!
◎「体に近いもの」「長時間使うもの」に気をつけよう!
(1)強い電磁波を出すものか、超低周波域を多く出しているか
(2)体に密着させて使うか
(3)長時間使うものかどうか、が目安になります。

ドライヤーやシェーバーも電磁波が強くて、しかも頭部に密着させて使うので、できるだけ短時間使用を心がける。
テレビの前に張り付いて長時間テレビゲームに夢中だと、電磁波をたっぷり浴びている。しかもゲーム脳といって、やりすぎると痴呆症に似た脳波になるといわれているから、二重に危ない。なるべくテレビから離れること、時間を決めてゲームをするようにしよう。
家電の中でもずば抜けて電磁波が強いのが、IH調理器。その位置は、 女性のちょうど腹部にあたるので、特に妊婦は気をつけてあまり使わないこと、加熱中は離れていることがおすすめ。電子レンジはマイクロ波 を使っているが、シールド対策が施され、安全基準が設定されているも のの、超低周波対策はなし。
CDラジカセやオーディオ類は、常に電源を入れていることが多いので、頭部の近くには置かないか、使わない時は電源を抜く。
机の上の蛍光灯は頭部に近く、使用時間も長い。インバーターは、高周波も出ていて要注意。体から離してつけよう。
電気毛布、ホットカーペット、コタツは長時間、しかも体に密着させて使うのでリスクが高い。十分暖めたら、寝る時はコンセントを切るようにする。
